Gehirn-Mikrobiom: Darmbakterien in unserem Gehirn


Geprüft und freigegeben von der Psychologe Gema Sánchez Cuevas
Gibt es ein Gehirn-Mikrobiom? Während des letzten Jahrestreffens der Gesellschaft für Neurowissenschaften an der Universität von Alabama in Birmingham präsentierten Forscher einen Bericht, der zeigt, dass verschiedene Darmbakterien in unterschiedlichen Gehirnbereichen vorhanden sind.
Es könnte sogar sein, dass das Gehirn ein eigenes Mikrobiom besitzt. Fest steht, dass sich Darmbakterien in unserem Gehirn befinden.
Diese Entdeckung ist sowohl faszinierend als auch ein wenig erschreckend. Es wurde noch keine Erklärung gefunden, wie diese Darmbakterien das Gehirn erreicht haben, oder ob sie nützlich oder schädlich sind. Experten glauben jedoch, dass sie die Stimmung und die Persönlichkeit beeinflussen können.
Was sind Darmbakterien?
Unser Darm-Mikrobiom setzt sich aus Mikroorganismen zusammen, die in unserem Darm leben. Tatsächlich gibt es ungefähr einhundert Billionen verschiedene Arten von Bakterien.
Diese wiederum haben mehr als drei Millionen unterschiedliche Gene. Von diesem Grundstock an Bakterien besitzen Menschen ungefähr ein Drittel der gleichen Bakterien. Die restlichen Bakterien, die jeder Mensch hat, setzen sich individuell zusammen. Aus diesem Grund ist das Darm-Mikrobiom ein wichtiger Bestandteil der Identität jeder Person.
Zu den wichtigsten Funktionen, die unser Darm-Mikrobiom übernimmt, zählen die Regulierung des Immunsystems, die Nährstoffaufnahme und die Kontrolle externer Krankheitserreger. Jede Veränderung dieses Mikrobioms kann zu Autoimmunerkrankungen, Allergien oder Infektionen führen. Wissenschaftler glauben auch, dass eine solche Veränderung Krankheiten wie Alzheimer und Parkinson erklären könnte.
Andererseits erzeugen Ungleichgewichte in der Darmflora Endotoxine sowie die Speicherung von Bauchfett. Darüber hinaus verursachen sie chronische Entzündungen im Darm, Herz-Kreislauf-Probleme und Diabetes.
Ungeachtet der Angst vor Mikroben und Bakterien, die weit verbreitet ist, könnten wir in Wahrheit nicht ohne sie leben. Obwohl wir uns dessen nicht bewusst sind, existieren in unserem Körper Milliarden von Lebewesen.

Das Gehirn-Mikrobiom
Wissenschaftler haben sich gefragt, wie diese Darmbakterien ins Gehirn gelangen, da dieses Organ eigentlich durch die Blut-Hirn-Schranke geschützt ist.
Die Blut-Hirn-Schranke ist ein Schutzsystem, das das Eindringen von Fremdstoffen in das Gehirn vermeidet. Allerdings lässt dieser Filter Wasser, lösliche Moleküle in Lipiden und einige Gase durch. Weiterhin ermöglicht diese Schranke den selektiven Durchgang von Aminosäuren und anderen Molekülen. Aber die Bakterien im Gehirn stammen größtenteils aus dem Darm.
In unserem Gehirn gibt es die sogenannten Gliazellen, die Neuronen und Astrozyten unterstützen und das Eindringen von Neurotoxinen und anderen Substanzen in das Gehirn verhindern sollen.
Wenn aber Schadstoffe die Barriere auf irgendeine Weise durchdringen, erzeugen sie häufig Entzündungen mit sehr eingreifenden und sogar tödlichen Folgen. Ironischerweise sind die Astrozyten der bevorzugte Ort für diese Darmbakterien, um im Gehirn zu leben.
Forscher haben festgestellt, dass diese bestimmten Bakterien die Darmnerven, die Blut-Hirn-Schranke oder die Nase passieren können. Die Ursache hierfür ist jedoch noch unbekannt. Aus diesem Grund gibt es in Bezug auf das Gehirn-Mikrobiom noch viel zu entdecken.

Die Forschung
Dr. Rosalinda Roberts und ihr Team von der Abteilung für Psychiatrie und Verhaltensneurobiologie an der Universität von Alabama in Birmingham sind zu dieser neuen Erkenntnis gelangt.
Sie untersuchten die Gehirne von 34 verstorbenen Menschen. Die Hälfte der Personen war gesund gewesen, der Rest hatte an Schizophrenie gelitten. Darüber hinaus führten sie eine Parallelstudie mit Mäusen durch, um auszuschließen, dass die Bakterien erst post mortem auftraten oder eine Kontamination zu Fehlern führte.
In beiden Studien beobachteten die Wissenschaftler das Vorhandensein von Darmbakterien im Gehirn von Menschen und Mäusen in nicht infektiösen oder traumatischen Situationen.
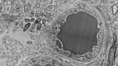
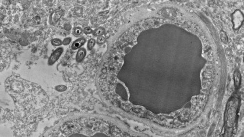
Tatsächlich fanden die Forscher diese Bakterien in verschiedenen Bereichen des Gehirns. Hauptsächlich in der Substantia nigra, im Hippocampus, im präfrontalen Cortex und in geringerer Anzahl in weiteren Gehirnarealen. Außerdem zeigte keines der untersuchten Gehirne eine Entzündungserscheinung.
Diese Ergebnisse haben die Tür für Spekulationen und neue Forschungen zum Gehirn-Mikrobiom geöffnet. Derzeit wird die Möglichkeit in Betracht gezogen, dass dieses Mikrobiom mit Verhalten, Stimmung und einigen neurologischen Erkrankungen zusammenhängen könnte.
Titelbild mit freundlicher Genehmigung von Rosalinda Roberts, Courtney Walker und Charlene Farmer.
Gibt es ein Gehirn-Mikrobiom? Während des letzten Jahrestreffens der Gesellschaft für Neurowissenschaften an der Universität von Alabama in Birmingham präsentierten Forscher einen Bericht, der zeigt, dass verschiedene Darmbakterien in unterschiedlichen Gehirnbereichen vorhanden sind.
Es könnte sogar sein, dass das Gehirn ein eigenes Mikrobiom besitzt. Fest steht, dass sich Darmbakterien in unserem Gehirn befinden.
Diese Entdeckung ist sowohl faszinierend als auch ein wenig erschreckend. Es wurde noch keine Erklärung gefunden, wie diese Darmbakterien das Gehirn erreicht haben, oder ob sie nützlich oder schädlich sind. Experten glauben jedoch, dass sie die Stimmung und die Persönlichkeit beeinflussen können.
Was sind Darmbakterien?
Unser Darm-Mikrobiom setzt sich aus Mikroorganismen zusammen, die in unserem Darm leben. Tatsächlich gibt es ungefähr einhundert Billionen verschiedene Arten von Bakterien.
Diese wiederum haben mehr als drei Millionen unterschiedliche Gene. Von diesem Grundstock an Bakterien besitzen Menschen ungefähr ein Drittel der gleichen Bakterien. Die restlichen Bakterien, die jeder Mensch hat, setzen sich individuell zusammen. Aus diesem Grund ist das Darm-Mikrobiom ein wichtiger Bestandteil der Identität jeder Person.
Zu den wichtigsten Funktionen, die unser Darm-Mikrobiom übernimmt, zählen die Regulierung des Immunsystems, die Nährstoffaufnahme und die Kontrolle externer Krankheitserreger. Jede Veränderung dieses Mikrobioms kann zu Autoimmunerkrankungen, Allergien oder Infektionen führen. Wissenschaftler glauben auch, dass eine solche Veränderung Krankheiten wie Alzheimer und Parkinson erklären könnte.
Andererseits erzeugen Ungleichgewichte in der Darmflora Endotoxine sowie die Speicherung von Bauchfett. Darüber hinaus verursachen sie chronische Entzündungen im Darm, Herz-Kreislauf-Probleme und Diabetes.
Ungeachtet der Angst vor Mikroben und Bakterien, die weit verbreitet ist, könnten wir in Wahrheit nicht ohne sie leben. Obwohl wir uns dessen nicht bewusst sind, existieren in unserem Körper Milliarden von Lebewesen.

Das Gehirn-Mikrobiom
Wissenschaftler haben sich gefragt, wie diese Darmbakterien ins Gehirn gelangen, da dieses Organ eigentlich durch die Blut-Hirn-Schranke geschützt ist.
Die Blut-Hirn-Schranke ist ein Schutzsystem, das das Eindringen von Fremdstoffen in das Gehirn vermeidet. Allerdings lässt dieser Filter Wasser, lösliche Moleküle in Lipiden und einige Gase durch. Weiterhin ermöglicht diese Schranke den selektiven Durchgang von Aminosäuren und anderen Molekülen. Aber die Bakterien im Gehirn stammen größtenteils aus dem Darm.
In unserem Gehirn gibt es die sogenannten Gliazellen, die Neuronen und Astrozyten unterstützen und das Eindringen von Neurotoxinen und anderen Substanzen in das Gehirn verhindern sollen.
Wenn aber Schadstoffe die Barriere auf irgendeine Weise durchdringen, erzeugen sie häufig Entzündungen mit sehr eingreifenden und sogar tödlichen Folgen. Ironischerweise sind die Astrozyten der bevorzugte Ort für diese Darmbakterien, um im Gehirn zu leben.
Forscher haben festgestellt, dass diese bestimmten Bakterien die Darmnerven, die Blut-Hirn-Schranke oder die Nase passieren können. Die Ursache hierfür ist jedoch noch unbekannt. Aus diesem Grund gibt es in Bezug auf das Gehirn-Mikrobiom noch viel zu entdecken.

Die Forschung
Dr. Rosalinda Roberts und ihr Team von der Abteilung für Psychiatrie und Verhaltensneurobiologie an der Universität von Alabama in Birmingham sind zu dieser neuen Erkenntnis gelangt.
Sie untersuchten die Gehirne von 34 verstorbenen Menschen. Die Hälfte der Personen war gesund gewesen, der Rest hatte an Schizophrenie gelitten. Darüber hinaus führten sie eine Parallelstudie mit Mäusen durch, um auszuschließen, dass die Bakterien erst post mortem auftraten oder eine Kontamination zu Fehlern führte.
In beiden Studien beobachteten die Wissenschaftler das Vorhandensein von Darmbakterien im Gehirn von Menschen und Mäusen in nicht infektiösen oder traumatischen Situationen.
Tatsächlich fanden die Forscher diese Bakterien in verschiedenen Bereichen des Gehirns. Hauptsächlich in der Substantia nigra, im Hippocampus, im präfrontalen Cortex und in geringerer Anzahl in weiteren Gehirnarealen. Außerdem zeigte keines der untersuchten Gehirne eine Entzündungserscheinung.
Diese Ergebnisse haben die Tür für Spekulationen und neue Forschungen zum Gehirn-Mikrobiom geöffnet. Derzeit wird die Möglichkeit in Betracht gezogen, dass dieses Mikrobiom mit Verhalten, Stimmung und einigen neurologischen Erkrankungen zusammenhängen könnte.
Titelbild mit freundlicher Genehmigung von Rosalinda Roberts, Courtney Walker und Charlene Farmer.
Alle zitierten Quellen wurden von unserem Team gründlich geprüft, um deren Qualität, Verlässlichkeit, Aktualität und Gültigkeit zu gewährleisten. Die Bibliographie dieses Artikels wurde als zuverlässig und akademisch oder wissenschaftlich präzise angesehen.
- Barksdale KA, Perez-Costas E, Gandy JC, Melendez-Ferro M, Roberts RC*, Bijur GN* (2010) Mitochondrial viability in mouse and human postmortem brain. FASEB J, 24(9):3590-3599
- Do gut bacteria make a second home in our brains? (2018, November 9). Retrieved March 4, 2019, from https://www.sciencemag.org/news/2018/11/do-gut-bacteria-make-second-home-our-brains
Dieser Text dient nur zu Informationszwecken und ersetzt nicht die Beratung durch einen Fachmann. Bei Zweifeln konsultieren Sie Ihren Spezialisten.







