Noch nie zuvor gesehene Bilder über die Gehirnaktivität von Föten

Noch vor einiger Zeit war es noch sehr schwierig, Bilder von der Gehirnaktivität eines Fötus im Mutterleib zu machen. Heutzutage gibt es dank einer hoch entwickelten Technik bereits qualitativ hochwertige Bilder. Diese ermöglichen es uns, bestimmte Aspekte über die Entwicklung eines neuen Menschenlebens besser zu verstehen, die uns bislang unbekannt waren.
Die Magnetresonanztomographie (MRT) des Gehirns eines Fötus ist ein den Ultraschall ergänzendes Verfahren der Diagnostik. Viele werdende Mütter entscheiden sich aus einem ganz bestimmten Grund dafür: Sie wünschen eine morphologische und biometrische Untersuchung des Gehirns des Fötus, bei der jegliche Anomalie festgestellt werden kann.
„Das Leben ist faszinierend, wir müssen es nur aus dem richtigen Blickwinkel betrachten.“
Alejandro Dumas
Diese Untersuchungen werden für gewöhnlich ab der 20. Schwangerschaftswoche durchgeführt. Zu diesem Zeitpunkt hat sich der Corpus callosum vollständig gebildet hat und die Diagnostik ist treffsicherer. Wir dürfen nicht vergessen, dass der Fötus von Fruchtwasser umgeben ist. Seine Welt besteht hauptsächlich aus Flüssigkeit, was dazu führt, dass eine Magnetresonanztomographie keine hochauflösenden Bilder liefert. Denn jede Bewegung macht ein eindeutiges Bild unmöglich.
Diese Art von perinatalen Tests zur Feststellung von Anomalien hat in der Regel eine Erfolgsquote von 50 %. Doch nun gibt es vollkommen neue Aufzeichnungsmethoden. Vor gar nicht allzu langer Zeit hat die Technik einen riesigen Schritt gemacht und es existieren bereits viel genauere Algorithmen, mit denen fast perfekte Lesungen der Gehirnaktivität eines Babys gemacht werden können.
Was in diesen ersten diagnostischen Untersuchungen entdeckt wurde war eine revolutionäre Entdeckung im Bereich der perinatalen Medizin. Nachfolgend werden wir dir davon berichten.

Die Gehirnaktivität von Föten
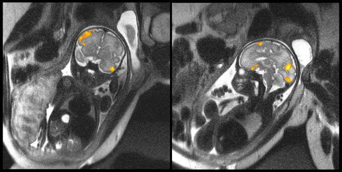
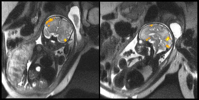
Auf dem oberen Bild können wir die Magnetresonanztomographie eines Fötus in der 20. und eines anderen in der 40. Schwangerschaftswoche sehen. Diese Aufnahmen stammen von der Medizinischen Fakultät der Staatlichen Universität von Wayne (Michigan, USA). Auf ihnen können wir ganz klar die Gehirnaktivität dieser zwei Babys im Mutterleib erkennen.
Mit dieser Untersuchungsmethode wollten die Wissenschaftler vor allem studieren, wie sich die Neuronen der Föten im Laufe der letzten Schwangerschaftswochen verbinden. Die erhaltenen Daten haben Aufschluss über gewisse Aspekte in Bezug auf Frühchen gegeben, die bis zu diesem Moment unbekannt waren.
Weniger zerebrale Verbindungen bei Frühchen
Die Ergebnisse dieser ersten Studie wurden in der Zeitschrift „Scientific Reports“ veröffentlicht. Um die besagte Untersuchung mithilfe der neuen Magnetresonanztechnik durchzuführen, wurden 36 schwangere Frauen von der 20. bis zur 36. Schwangerschaftswoche medizinisch überwacht. Die Hälfte dieser Frauen hatten eine Risikoschwangerschaft und daraufhin eine Frühgeburt.
- Man fand heraus, dass die Frühchen wesentlich schwächere neuronale Verbindungen aufzeigten als andere Föten in der gleichen Schwangerschaftswoche.
- Bis zu diesem Moment dachte man, dass die bei Frühchen festgestellten geringeren zerebralen Verbindungen vor allem auf eine für das Baby dramatische Geburt oder eine Hypoxie, die sie häufig während der Geburt erleiden, zurückzuführen wären.
Doch dieses neue diagnostische Verfahren gab Aufschluss darüber, dass die geringen zerebralen Verbindungen sich bereits im Mutterleib zeigen und dass diese geringere Verbindung zwischen den Neuronen vor allem im Broca-Areal zu sehen its. Das ist das Gehirnareal, das im Zusammenhang mit der Sprachverarbeitung steht.

Wie nützlich werden diese neuen Untersuchungsmethoden sein?
Wie wir am Anfang bereits erwähnt haben, zielt die fötale Magnetresonanz darauf ab, jegliche perinatale Anomalie zu erkennen. Heutzutage ist es sehr auffällig, dass es immer mehr Frühgeburten gibt. Diese Tatsache verpflichtet Ärzte, Wissenschaftler und Familien dazu, neue Strategien, Kräfte und Ressourcen bereitzustellen.
- Die erhaltenen Daten aus dieser Studie haben uns gezeigt, dass viele dieser Frühchen im Mutterleib von einem entzündeten Plazentagewebe umgeben sind. Daher glauben Wissenschaftler, dass die Entzündung des Plazentagewebes sowohl eine geringe neuronale Verbindung beim Fötus als auch die darauffolgende Frühgeburt beeinflussen kann.
- Je früher diese perinatalen Anomalien entdeckt werden, desto besser kann rechtzeitig eingegriffen werden. Wir dürfen nicht vergessen, dass bei Frühchen ein höheres Risiko besteht, Autismus, Aufmerksamkeitsdefizite und andere besondere Bedürfnisse in Bezug auf Lernprozesse zu entwickeln.
„Wenn du es am wenigsten erwartest, stellt dich das Leben vor eine Herausforderung.“
Paulo Coelho

Zusammengefasst können wir sagen, dass diese ersten Bilder von der Gehirnaktivität menschlicher Föten uns Außergewöhnliches zeigen, wodurch wir die Entwicklung des Menschen etwas besser verstehen können. Doch vor allem wird diese Untersuchungsmethode in der Zukunft ein sehr genaues diagnostisches Verfahren sein, mit dem ein Frühchen, das die Wissenschaft, Ärzte und seine Familie so sehr braucht, vollständiger untersucht werden kann.
Wir hoffen zumindest, dass es so sein wird.
Noch vor einiger Zeit war es noch sehr schwierig, Bilder von der Gehirnaktivität eines Fötus im Mutterleib zu machen. Heutzutage gibt es dank einer hoch entwickelten Technik bereits qualitativ hochwertige Bilder. Diese ermöglichen es uns, bestimmte Aspekte über die Entwicklung eines neuen Menschenlebens besser zu verstehen, die uns bislang unbekannt waren.
Die Magnetresonanztomographie (MRT) des Gehirns eines Fötus ist ein den Ultraschall ergänzendes Verfahren der Diagnostik. Viele werdende Mütter entscheiden sich aus einem ganz bestimmten Grund dafür: Sie wünschen eine morphologische und biometrische Untersuchung des Gehirns des Fötus, bei der jegliche Anomalie festgestellt werden kann.
„Das Leben ist faszinierend, wir müssen es nur aus dem richtigen Blickwinkel betrachten.“
Alejandro Dumas
Diese Untersuchungen werden für gewöhnlich ab der 20. Schwangerschaftswoche durchgeführt. Zu diesem Zeitpunkt hat sich der Corpus callosum vollständig gebildet hat und die Diagnostik ist treffsicherer. Wir dürfen nicht vergessen, dass der Fötus von Fruchtwasser umgeben ist. Seine Welt besteht hauptsächlich aus Flüssigkeit, was dazu führt, dass eine Magnetresonanztomographie keine hochauflösenden Bilder liefert. Denn jede Bewegung macht ein eindeutiges Bild unmöglich.
Diese Art von perinatalen Tests zur Feststellung von Anomalien hat in der Regel eine Erfolgsquote von 50 %. Doch nun gibt es vollkommen neue Aufzeichnungsmethoden. Vor gar nicht allzu langer Zeit hat die Technik einen riesigen Schritt gemacht und es existieren bereits viel genauere Algorithmen, mit denen fast perfekte Lesungen der Gehirnaktivität eines Babys gemacht werden können.
Was in diesen ersten diagnostischen Untersuchungen entdeckt wurde war eine revolutionäre Entdeckung im Bereich der perinatalen Medizin. Nachfolgend werden wir dir davon berichten.

Die Gehirnaktivität von Föten
Auf dem oberen Bild können wir die Magnetresonanztomographie eines Fötus in der 20. und eines anderen in der 40. Schwangerschaftswoche sehen. Diese Aufnahmen stammen von der Medizinischen Fakultät der Staatlichen Universität von Wayne (Michigan, USA). Auf ihnen können wir ganz klar die Gehirnaktivität dieser zwei Babys im Mutterleib erkennen.
Mit dieser Untersuchungsmethode wollten die Wissenschaftler vor allem studieren, wie sich die Neuronen der Föten im Laufe der letzten Schwangerschaftswochen verbinden. Die erhaltenen Daten haben Aufschluss über gewisse Aspekte in Bezug auf Frühchen gegeben, die bis zu diesem Moment unbekannt waren.
Weniger zerebrale Verbindungen bei Frühchen
Die Ergebnisse dieser ersten Studie wurden in der Zeitschrift „Scientific Reports“ veröffentlicht. Um die besagte Untersuchung mithilfe der neuen Magnetresonanztechnik durchzuführen, wurden 36 schwangere Frauen von der 20. bis zur 36. Schwangerschaftswoche medizinisch überwacht. Die Hälfte dieser Frauen hatten eine Risikoschwangerschaft und daraufhin eine Frühgeburt.
- Man fand heraus, dass die Frühchen wesentlich schwächere neuronale Verbindungen aufzeigten als andere Föten in der gleichen Schwangerschaftswoche.
- Bis zu diesem Moment dachte man, dass die bei Frühchen festgestellten geringeren zerebralen Verbindungen vor allem auf eine für das Baby dramatische Geburt oder eine Hypoxie, die sie häufig während der Geburt erleiden, zurückzuführen wären.
Doch dieses neue diagnostische Verfahren gab Aufschluss darüber, dass die geringen zerebralen Verbindungen sich bereits im Mutterleib zeigen und dass diese geringere Verbindung zwischen den Neuronen vor allem im Broca-Areal zu sehen its. Das ist das Gehirnareal, das im Zusammenhang mit der Sprachverarbeitung steht.

Wie nützlich werden diese neuen Untersuchungsmethoden sein?
Wie wir am Anfang bereits erwähnt haben, zielt die fötale Magnetresonanz darauf ab, jegliche perinatale Anomalie zu erkennen. Heutzutage ist es sehr auffällig, dass es immer mehr Frühgeburten gibt. Diese Tatsache verpflichtet Ärzte, Wissenschaftler und Familien dazu, neue Strategien, Kräfte und Ressourcen bereitzustellen.
- Die erhaltenen Daten aus dieser Studie haben uns gezeigt, dass viele dieser Frühchen im Mutterleib von einem entzündeten Plazentagewebe umgeben sind. Daher glauben Wissenschaftler, dass die Entzündung des Plazentagewebes sowohl eine geringe neuronale Verbindung beim Fötus als auch die darauffolgende Frühgeburt beeinflussen kann.
- Je früher diese perinatalen Anomalien entdeckt werden, desto besser kann rechtzeitig eingegriffen werden. Wir dürfen nicht vergessen, dass bei Frühchen ein höheres Risiko besteht, Autismus, Aufmerksamkeitsdefizite und andere besondere Bedürfnisse in Bezug auf Lernprozesse zu entwickeln.
„Wenn du es am wenigsten erwartest, stellt dich das Leben vor eine Herausforderung.“
Paulo Coelho

Zusammengefasst können wir sagen, dass diese ersten Bilder von der Gehirnaktivität menschlicher Föten uns Außergewöhnliches zeigen, wodurch wir die Entwicklung des Menschen etwas besser verstehen können. Doch vor allem wird diese Untersuchungsmethode in der Zukunft ein sehr genaues diagnostisches Verfahren sein, mit dem ein Frühchen, das die Wissenschaft, Ärzte und seine Familie so sehr braucht, vollständiger untersucht werden kann.
Wir hoffen zumindest, dass es so sein wird.
Dieser Text dient nur zu Informationszwecken und ersetzt nicht die Beratung durch einen Fachmann. Bei Zweifeln konsultieren Sie Ihren Spezialisten.







